

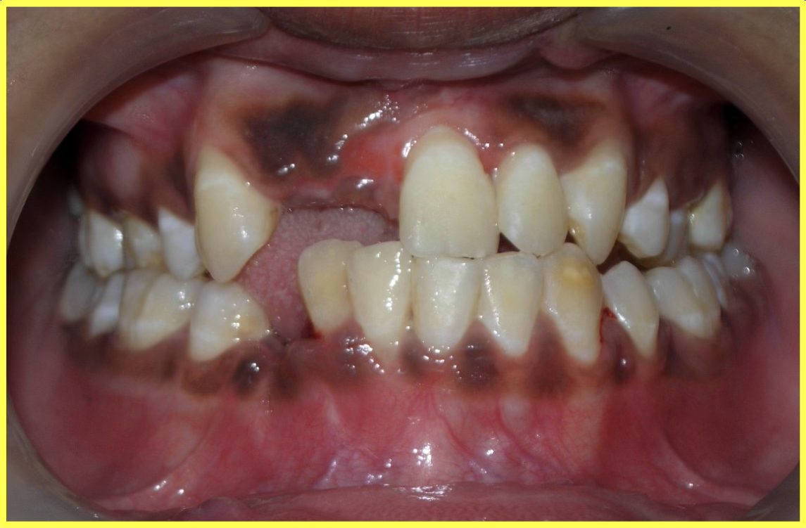
Initial condition

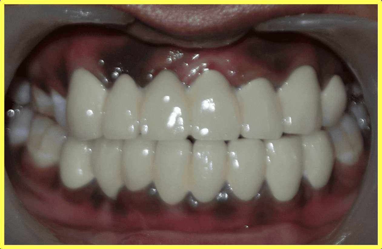
Final result
24 years
Female
Multiple facial fractures and lacerations along with broken teeth after road traffic accident
A 24-year-old female patient presented after sustaining severe trauma in a road traffic accident. Patient had Le Fort 1 fracture of maxilla and right mandibular body fracture with missing permanent teeth. After initial fracture reduction and treatment at a maxillofacial surgery center, comprehensive cosmetic dental restoration was performed with PFM restorations.
Patient presented with multiple facial fractures including Le Fort 1 fracture of maxilla and right mandibular body fracture. Initial stabilization and pain management provided. Patient was referred to maxillofacial surgeon for fracture reduction.

Fractures were surgically reduced and treated at a specialized maxillofacial surgery center. Two-month healing period allowed for proper bone consolidation.

After healing, comprehensive dental assessment was performed. Treatment planning for cosmetic restoration of damaged and missing teeth.

Custom PFM crowns and bridges were fabricated and fixed for all missing and damaged teeth, restoring both function and aesthetics.






"After the accident, I thought my life was over. The physical and emotional trauma was immense. The dental team worked miracles in restoring my smile. I can smile confidently again and no one can tell I was in such a terrible accident."
— Patient (24 years, Female) - Accident Survivor