

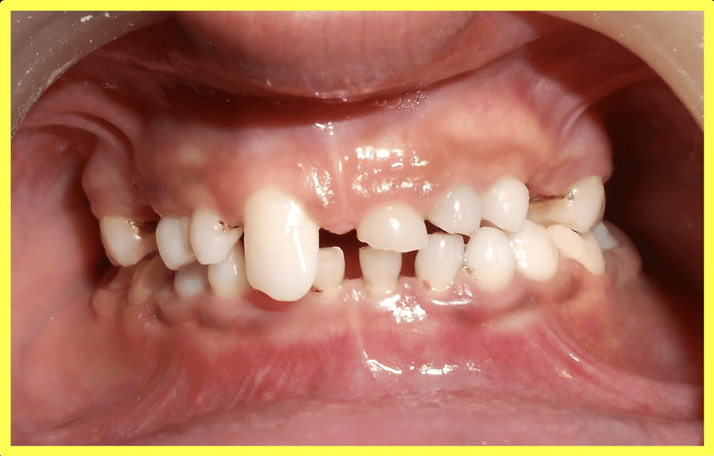
Initial condition

Final result
13 years
Male
Missing permanent teeth and awkward smile
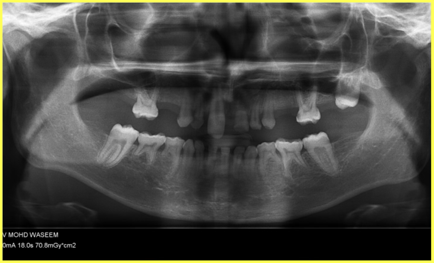
A 13-year-old male patient presented with oligodontia (congenitally missing permanent teeth) and retained deciduous (milk) teeth. Only two permanent lower molars were present. Treatment involved root canal therapy for all existing teeth followed by telescopic removable metallic PFM prosthesis for complete rehabilitation.
Comprehensive oral examination and OPG X-ray revealed oligodontia with only two permanent lower molars present. Patient had multiple retained deciduous teeth with aesthetic and functional concerns.

Endodontic treatment performed on all remaining deciduous teeth to ensure they could serve as stable abutments for telescopic prosthesis.

Custom telescopic copings were designed and fabricated to fit over prepared teeth, providing retention and support for the removable prosthesis.

Upper and lower telescopic removable metallic PFM prosthesis was carefully fitted, adjusted, and delivered to restore complete dental function and aesthetics.





"My son was so self-conscious about his smile. Now he smiles freely and has gained so much confidence. The prosthesis looks natural and works perfectly. Thank you for giving him his childhood back!"
— Parent of Patient (13 years, Male)