

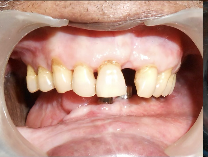
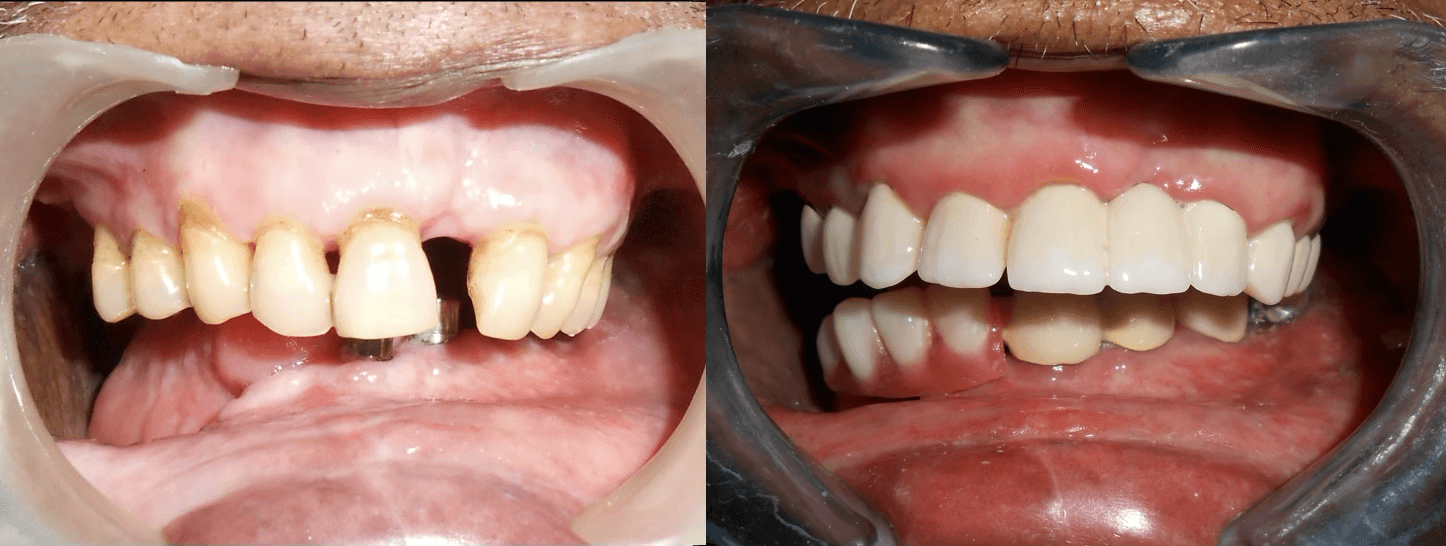
Initial condition

Final result
72 years
Male
Missing right jaw due to oral cancer surgery, difficulty in chewing, swallowing and speech with mandible deviation
A 72-year-old male oral cancer survivor visited our dental center after surgical removal of the right side of his mandible. Patient had multiple missing and attrited teeth with significant functional impairment. Treatment involved implant-supported lower teeth with PFM crowns and precision-attached removable denture for hemimandibulectomy rehabilitation.
Comprehensive evaluation of oral cancer survivor post-hemimandibulectomy. Patient presented with missing teeth 16, 17, 25, 26, 31-37 and excised right mandible. Complete assessment of remaining bone and soft tissue.

Strategic placement of 4 Dio dental implants in the regions 32, 33, 35, and 36 using advanced surgical techniques suitable for post-cancer reconstructed anatomy.

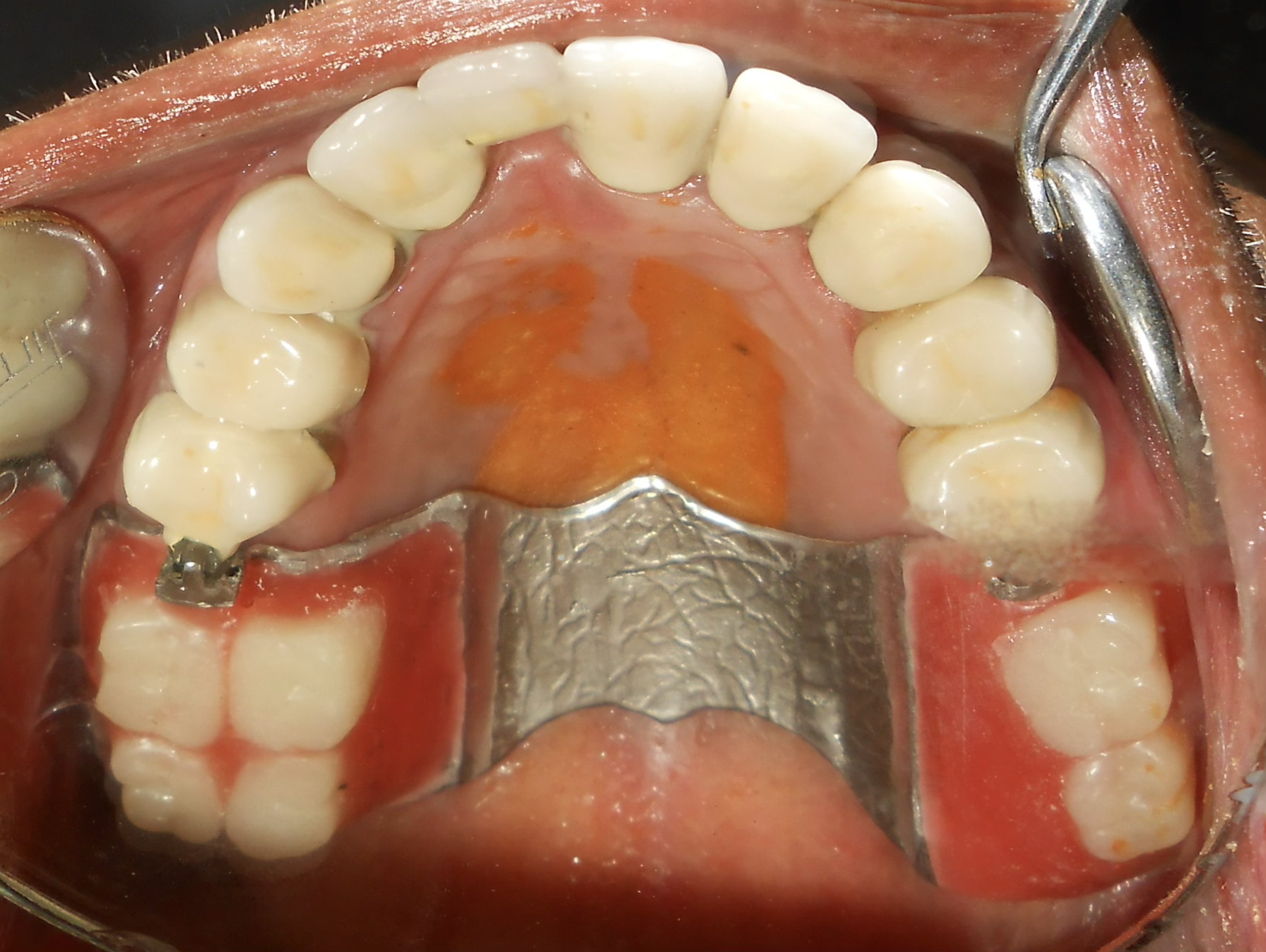
PFM crowns were fabricated and fixed for the upper remaining teeth to restore function and aesthetics.

Precision-attached metal framework fabricated and tested. Custom teeth arrangement trial to ensure optimal function and appearance.

Implants were delayed loaded after 3 months with PFM crowns. Precision-attached metal removable denture was inserted for comprehensive hemimandibulectomy rehabilitation.




"After my cancer treatment and jaw surgery, I thought I would never eat or speak normally again. This team gave me hope and delivered results beyond my expectations. I can eat, talk, and smile with confidence."
— Patient (72 years, Male) - Cancer Survivor